症例一覧
神経を残す治療の症例
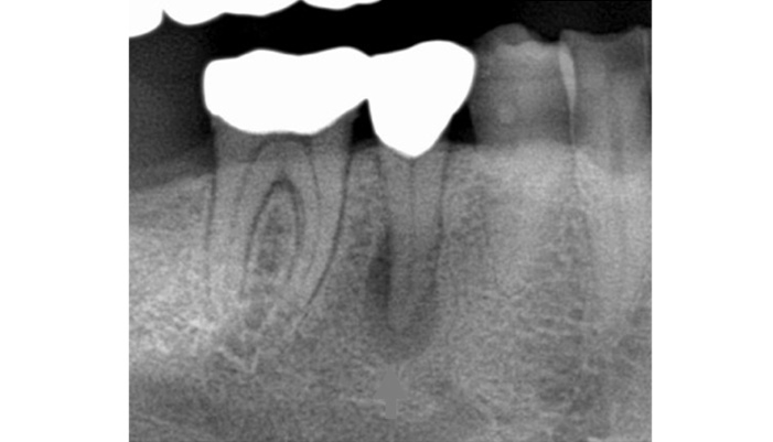
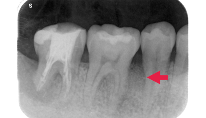
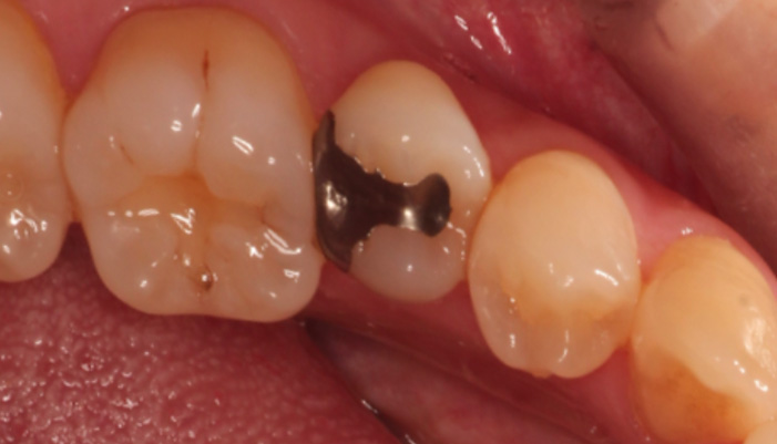
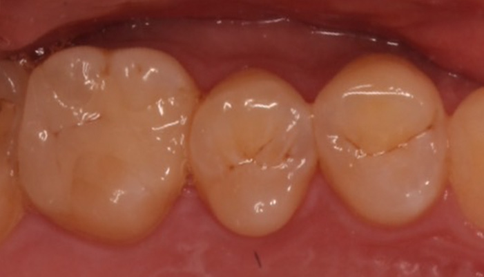
症例1
治療前
治療中
治療中
治療後
治療の経緯
患者様は「他院で神経を取るしかないと言われたが、できれば神経を残したい」とのご希望で来院されました。初診時には冷たいものがしみる症状はありましたが、自発痛や打診痛はなく、診査の結果、歯髄を温存できる可能性があると判断しました。
治療では拡大視野下でむし歯の感染部分を正確に除去し、MTAを用いた歯髄温存療法を実施しました。
神経を残すことは歯の強度や寿命を守ることにつながるため、当院では可能な限り歯の神経を残す治療を大切にしています。
同じ症状で悩んでいる方への
メッセージ
「神経を取る」と言われた場合でも、歯の状態によっては残せる可能性があります。神経を残せるかどうかは、正確な診断が重要です。
当院では拡大視野下で精密な診断と治療を行い、可能な限り神経を守る治療に取り組んでいます。「神経を残したい」とお悩みの方は、ぜひ一度ご相談ください。
| 主訴 | 歯に穴が空いた |
|---|---|
| 治療期間 | 1ヶ月 |
| 治療費 | ¥33,000 |
| 治療内容 | むし歯が大きく、神経を残す治療(歯髄温存療法)を行い、神経を残しダイレクトボンディングにて修復しました。 |
| 治療のリスク | 治療後に痛みが出ることがあります。また、痛みが強くでる場合は神経を取る治療に移行することもあります。 |
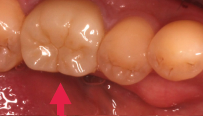
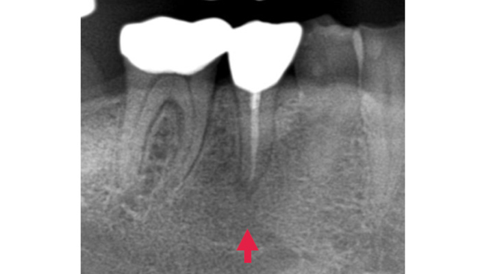
症例2
治療前
治療中
治療の経緯
拡大視野下でむし歯の感染部位を丁寧に除去し、歯髄の状態を確認した結果、神経を残せる可能性があると判断しました。そのため、MTAを用いた歯髄温存療法を選択しました。歯の神経は歯に栄養や水分を供給する重要な役割があり、神経を残すことは歯の寿命を守ることにもつながります。
同じ症状で悩んでいる方への
メッセージ
「神経を取る」と言われた場合でも、歯の状態によっては残せる可能性があります。神経を残せるかどうかは、正確な診断が重要です。
当院では拡大視野下で精密な診断と治療を行い、可能な限り神経を守る治療に取り組んでいます。「神経を残したい」とお悩みの方は、ぜひ一度ご相談ください。
| 主訴 | 冷たいものがしみる・虫歯を指摘された |
|---|---|
| 治療期間 | 1〜3回 |
| 治療費 | ¥33,000 |
| 治療内容 | 虫歯を除去後、歯髄を保護する薬剤を使用し神経を残す治療を行いました。 |
| 治療のリスク | 術後にしみる症状が出ることがあります。症状が改善しない場合は神経の治療が必要になることがあります。 |
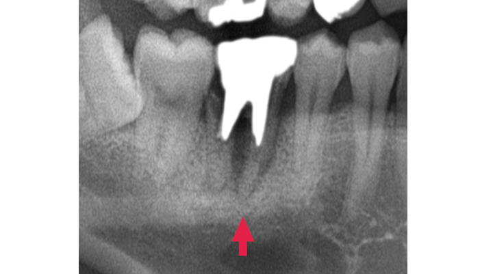
症例3
治療前
治療中
治療の経緯
拡大視野下でむし歯の感染部位を丁寧に確認しながら正確に除去し、歯髄の状態を評価しました。その結果、神経を残せる可能性があると判断し、MTAを用いた歯髄温存療法を選択しました。神経を残すことは、歯の寿命を守ることにもつながります。
同じ症状で悩んでいる方への
メッセージ
「神経を取る」と言われた場合でも、歯の状態によっては残せる可能性があります。神経を残せるかどうかは、正確な診断が重要です。
当院では拡大視野下で精密な診断と治療を行い、可能な限り神経を守る治療に取り組んでいます。「神経を残したい」とお悩みの方は、ぜひ一度ご相談ください。
| 主訴 | 甘いものや冷たいものがしみる |
|---|---|
| 治療期間 | 1〜3回 |
| 治療費 | ¥33,000 |
| 治療内容 | 深い虫歯に対して歯髄を保護する処置を行い、神経を残す治療を行いました。 |
| 治療のリスク | 虫歯の進行度によっては将来的に神経の治療が必要になる場合があります。 |
歯周病の症例
症例1
治療前
治療後
治療の経緯
患者様は「歯が長く見える」「見た目が気になる」とのお悩みで来院されました。診査の結果、歯ぐきが下がり歯の根の表面が露出している状態で、知覚過敏の症状はないものの歯肉の厚みが薄い状態でした。清掃状態や咬合、歯肉の厚みなどを総合的に評価し、将来的な歯ぐきの安定性を考慮して歯肉移植(結合組織移植術)による治療を行いました。
同じ症状で悩んでいる方への
メッセージ
歯ぐきが下がると歯が長く見えるだけでなく、今後さらに退縮が進行する可能性があります。歯ぐきは適切な治療によって回復を目指すことができますが、放置すると進行することもあるため早期の対応が大切です。気になる症状がある方は、お早めにご相談ください。
| 主訴 | 歯ぐきが下がり見た目が気になる |
|---|---|
| 治療期間 | 1か月 |
| 治療費 | ¥77,000 |
| 治療内容 | 歯肉体退縮あり、歯肉移植(結合組織移植)を行い、見 た目を改善しました。 |
| 治療のリスク | 状況により2回外科処置が必要なこともあります。 |
症例2
治療前
治療後
| 主訴 | 上の前歯がよく腫れる |
|---|---|
| 治療期間 | 1~2ヶ月 |
| 治療費 | ¥77,000(税込) |
| 治療内容 | 歯周再生療法にて、歯周病で失った骨を再生しました。 |
| 治療のリスク | 100%成功するものではなく、適応出来ないケースもあります。 |
症例3
治療前
治療後
治療の経緯
まず歯周基本治療として、歯石や細菌の除去、ブラッシング指導などを行い、歯ぐきの炎症の改善を図りました。しかし、基本治療後も深い歯周ポケットや骨の欠損が残っており、改善が限定的な状態でした。そのため、失われた歯周組織の回復を目指し、歯をできるだけ残す治療として歯周組織再生療法を選択しました。再生療法により、骨や歯周組織の回復を促し、歯の安定を図ることを目的としています。
同じ症状で悩んでいる方への
メッセージ
歯周病が進行している場合でも、すべての歯が抜歯になるわけではありません。歯ぐきや骨の状態によっては、再生療法によって歯を残せる可能性があるケースもあります。「抜歯と言われた」「歯がぐらついている」とお悩みの方も、まずは一度ご相談ください。適切な診断のもと、できる限り歯を残す治療をご提案いたします。
| 主訴 | 歯ぐきの腫れ・歯周病を指摘された |
|---|---|
| 治療期間 | 1回 |
| 治療費 | ¥77,000 |
| 治療内容 | 歯周基本治療をし、改善が認められなかったため歯周外科手術を行い、歯周組織の再生を目的とした再生療法を行いました。 |
| 治療のリスク | 術後の腫れ・出血・感染の可能性があります。 |
症例4
治療前
治療後
治療の経緯
初診時には、深い歯周ポケットや垂直性骨欠損、歯の動揺が認められました。まずは歯周基本治療を行い炎症の改善を図りましたが、歯周ポケットや骨の欠損が残存していました。このままでは歯の保存が難しくなる可能性があったため、歯を残すことを目的として歯周組織再生療法を選択しました。
同じ症状で悩んでいる方への
メッセージ
「抜歯が必要」と言われると不安に感じられると思いますが、すべてのケースで抜歯が必要になるわけではありません。状態によっては、再生療法により歯を残せる可能性もあります。大切なのは、早めに適切な診断と治療を受けることです。同じようなお悩みをお持ちの方も、まずはお気軽にご相談ください。
| 主訴 | 歯周病が進行し、抜歯と言われた。 |
|---|---|
| 治療期間 | 1回 |
| 治療費 | ¥77,000 |
| 治療内容 | 歯周基本治療をし、改善が認められなかったため歯周外科手術を行い、歯周組織の再生を目的とした再生療法を行いました。 |
| 治療のリスク | 腫れ・痛み・感染などの可能性があります。 |
症例5
治療前
治療後
治療の経緯
まずは歯周基本治療を行い炎症の改善を図りましたが、歯周ポケットや骨の欠損が残存していました。そのため、歯を残す可能性を高める目的で、歯周組織再生療法を選択しました。
同じ症状で悩んでいる方への
メッセージ
「抜歯が必要」と言われると不安に感じられると思いますが、すべての歯が抜歯になるわけではありません。状態によっては、再生療法により歯を残せる可能性もあります。同じようなお悩みをお持ちの方も、まずは一度ご相談ください。
| 主訴 | 歯がぐらつく |
|---|---|
| 治療期間 | 1回 |
| 治療費 | ¥77,000 |
| 治療内容 | 歯周外科処置を行い、骨の再生を促す材料を使用した歯周再生療法を行いました。 |
| 治療のリスク | 歯周病の進行状態によっては十分な改善が得られない場合があります。 |
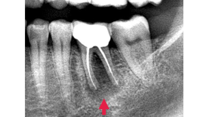
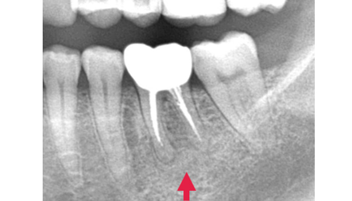
根管治療の症例
症例1
治療前
治療後
治療の経緯
患者様は「何度も腫れる」「根の治療を繰り返している」とのお悩みで来院されました。診査の結果、歯の根の先に膿の袋(根尖病変)が確認され、過去の治療で細菌が十分に取り除けていない可能性が考えられました。そこで、ラバーダムを使用して治療部位への細菌の侵入を防ぎながら、拡大視野下で精密な根管治療の再治療を行い、感染源の徹底的な除去を行いました。
同じ症状で悩んでいる方への
メッセージ
根管治療の成功率は、治療を行う環境や精密さによって大きく左右されます。何度も治療を繰り返すと、感染が広がるリスクも高くなります。「腫れを繰り返している」「根の治療がなかなか治らない」とお悩みの方は、早めにご相談ください。適切な環境と精密な治療で、歯を守る可能性を高めることができます。
| 主訴 | 右下が腫れて痛い |
|---|---|
| 治療期間 | 1ヶ月 |
| 治療費 | 保険適用 |
| 治療内容 | レントゲンで確認すると、根尖病変が認められ根管治療を行いました。 |
| 治療のリスク | 再発が起きる場合は、外科処置を追加で必要なケースがあります。 |
症例2
治療前
治療後
治療の経緯
患者様は「根管治療中に器具が折れたと言われた」とのことで来院されました。診査の結果、根管内に破折したファイルが残存している状態が確認されました。CTで破折ファイルの位置や周囲の状態を詳しく確認したうえで、拡大視野下にて慎重に除去を行いました。
同じ症状で悩んでいる方への
メッセージ
ファイル破折が起きた場合でも、必ずしも抜歯になるとは限りません。状態によっては専門的な処置により対応できるケースもあります。「器具が折れたと言われた」「治療が難しいと言われた」とお悩みの方も、まずは一度ご相談ください。適切な診断のもと、歯を残せる可能性を検討いたします。
| 主訴 | 他院で治療しているが、治らない。 |
|---|---|
| 治療期間 | 1ヶ月 |
| 治療費 | 保険適応 |
| 治療内容 | 治療中に折れた器具(破折ファイル)があり、折れた器具の先が感染していて痛みがあったため、折れた器具を取り根管治療をしたケースです。 |
| 治療のリスク | 折れた器具が取れないこともあります。 |
症例3
治療前
治療後
治療の経緯
根の先に感染が認められ、再発リスクの高い状態であったため、より確実な治療が必要と判断しました。そのため、唾液や細菌の侵入を防ぐラバーダムを使用し、さらに拡大視野下で精密な根管治療を行いました。根管内の複雑な構造を確認しながら、感染源を一つひとつ丁寧に除去し、再感染のリスクを可能な限り抑えることを目的として治療を進めました。
同じ症状で悩んでいる方への
メッセージ
根管治療の成功率は、治療の「環境」によって大きく左右されます。不十分な処置や繰り返しの治療は、かえって感染リスクを高めてしまうこともあります。適切な環境で精密な治療を行うことが、歯を長く残すために重要です。気になる症状がある方は、早めの受診をおすすめします。
| 主訴 | 歯の強い痛みがある。他院で抜歯と診断された。 |
|---|---|
| 治療期間 | 1〜3回 |
| 治療費 | 保険適応 |
| 治療内容 | 感染した神経を除去し、根管内を清掃・消毒して薬剤で封鎖しました。 |
| 治療のリスク | 症状が改善しない場合は再治療が必要になる場合があります。 |
症例4
治療前
治療後
治療の経緯
CT撮影により感染の原因や広がりを詳しく確認し、拡大視野下で精密な根管治療を行いました。根管内の感染源を丁寧に除去し、できる限り歯を残すことを目的として治療を進めました。
患者様や同じ症状で悩んでいる方へのメッセージ
膿が大きいからといって、必ずしも抜歯が必要になるわけではありません。適切な診査・診断と専門的な処置により、歯を残せる可能性もあります。気になる症状がある方は、早めの受診をおすすめします。
| 主訴 | 歯ぐきの腫れ |
|---|---|
| 治療期間 | 1〜3回 |
| 治療費 | 保険適応 |
| 治療内容 | 根管内の感染を除去し、薬剤で密封する治療を行いました。 |
| 治療のリスク | 再感染する可能性があります。 |
インプラント症例
症例1
治療前
治療後
治療の経緯
患者様は「抜歯した前歯を綺麗にしたい」とのご希望で来院されました。診査の結果、抜歯部位には骨吸収が見られ、審美的な回復が難しい状態でした。そこで、インプラント治療にあたり骨造成を併用し、さらに歯肉の形態も調整することで、見た目の自然さを考慮した治療を行いました。
同じ症状で悩んでいる方への
メッセージ
前歯の治療では、噛む機能だけでなく周囲の歯や歯ぐきとの調和など、自然な見た目が重要です。状態に応じて骨や歯ぐきの治療を組み合わせることで、より自然な仕上がりを目指すことができます。前歯の見た目でお悩みの方は、ぜひ一度ご相談ください。
| 主訴 | 右上前歯が痛い |
|---|---|
| 治療期間 | 約4か月 |
| 治療費 | ¥528,000(税込) |
| 治療内容 | 抜歯と同時にインプラント埋入(抜歯即時インプラント)し、治療期間や外科処置の侵襲を最小限に抑え、見た目を綺麗な状態に維持しました。 |
| 治療のリスク | すべての症例で適応が出来るわけではありません。 |
症例2
治療前
治療後
治療の経緯
患者様は「破折した奥歯にインプラントをしたい」とのご希望で来院されました。診査の結果、歯根破折に加えて骨の吸収が進んでおり、そのままではインプラント治療が難しい状態でした。そこで、骨造成を併用してインプラントを埋入できる環境を整えるとともに、歯肉の形態も調整し、機能面と清掃性に配慮した治療を行いました。
同じ症状で悩んでいる方への
メッセージ
歯が破折してしまった場合でも、状態に応じて骨を再生することでインプラント治療が可能になるケースがあります。大切なのは、その場しのぎではなく長期的に安定する治療を選択することです。奥歯のトラブルでお悩みの方も、まずはお気軽にご相談ください。
| 主訴 | 歯が割れてしまった。 |
|---|---|
| 治療期間 | 3〜6ヶ月 |
| 治療費 | ¥528,000(税込) |
| 治療内容 | 破折していたため、インプラントする骨がなく抜歯時に骨造成をし、インプラントを行った。 |
| 治療のリスク | 腫れ・痛みなどの可能性があります。 |
症例3
治療前
治療後
治療の経緯
患者様は「インプラントした部分を長く安心して使える状態にしたい」とのご希望で来院されました。初診時は、すでにインプラントが埋入されており二次手術前の状態でしたが、角化歯肉の幅が不足しており、将来的な清掃性や安定性に不安がある状態でした。そこで、単純な二次手術のみではなく、インプラント周囲に十分な角化歯肉を確保する処置を併用し、清掃しやすく長期的に安定しやすい環境を整えました。
同じ症状で悩んでいる方への
メッセージ
インプラント治療は「入れること」がゴールではなく、その後も長く安定して使い続けられることが重要です。歯ぐきの状態や清掃のしやすさまで考慮することで、トラブルの予防につながります。インプラント後の違和感や不安がある方も、ぜひ一度ご相談ください。
| 主訴 | インプラント治療の続き。 |
|---|---|
| 治療期間 | 1回 |
| 治療費 | ¥33,000(税込) |
| 治療内容 | インプラントの2次手術として歯肉形成を行いました。硬いしっかりした歯茎(角化歯肉)がないと将来的にインプラントが炎症を起こしやすいためです。 |
| 治療のリスク | 腫れ・出血などが生じる場合があります。 |
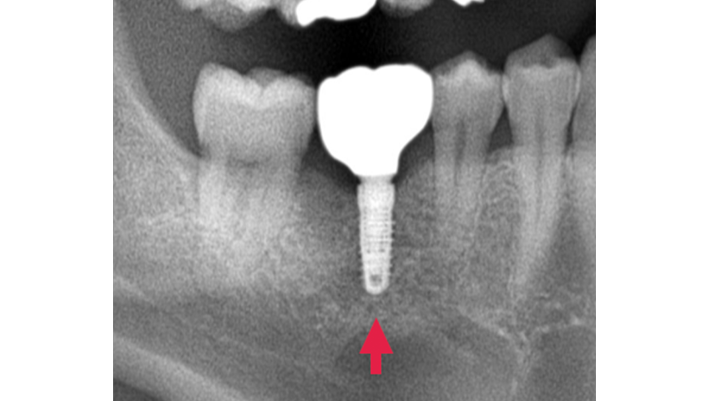
症例4
治療前
治療後
治療の経緯
患者様は「インプラントをするために骨をできるだけ残したい」とのご希望で来院されました。診査の結果、歯根破折により保存は難しく、抜歯が必要な状態でした。また、抜歯後は骨が吸収しやすいリスクが高い状況でした。そのため、抜歯と同時に骨補填材を填入し、メンブレンで保護することで、歯槽堤の形態維持を図り、将来のインプラントに備えた治療を行いました。
同じ症状で悩んでいる方への
メッセージ
歯を抜いた瞬間から骨の吸収は始まります。将来インプラントを検討されている場合は、抜歯時の処置がとても重要です。適切な対応を行うことで、骨の減少を抑え、より良い治療につなげることができます。気になる方は早めにご相談ください。
| 主訴 | 抜歯後のインプラント希望。 |
|---|---|
| 治療期間 | 1回 |
| 治療費 | ¥55,000(税込) |
| 治療内容 | 抜歯後の骨の吸収を防ぐため骨補填材を用いた処置を行いました。 |
| 治療のリスク | 感染や腫れが生じる可能性があります。 |
審美歯科症例
症例1
治療前
治療後
| 主訴 | 銀歯を白くしたい |
|---|---|
| 治療期間 | 2〜3週間 |
| 治療費 | ¥246,400(税込) |
| 治療内容 | 銀歯を外し、セラミックの詰め物を入れました。 |
| 治療のリスク | 個人差により、欠けたりする可能性があります。 |
症例2
治療前
治療後
| 主訴 | 銀歯を白くしたい |
|---|---|
| 治療期間 | 2〜3週間 |
| 治療費 | ¥61,600(税込) |
| 治療内容 | 銀歯を外し、セラミックの詰め物を入れました。 |
| 治療のリスク | 個人差により、欠けたりする可能性があります。 |
症例3
治療前
治療後
治療の経緯
患者様は「できるだけ歯を削らずに、歯がない部分を綺麗にしたい」とのご希望で来院されました。診査の結果、1歯欠損の状態で、両隣の歯は健全でした。そこで、歯への負担を最小限に抑える方法として、最小限の切削で対応できる接着性ブリッジによる治療を行いました。
同じ症状で悩んでいる方への
メッセージ
歯を失った場合でも、必ず大きく歯を削る治療が必要とは限りません。状態によっては、接着性ブリッジのように歯をほとんど削らずに回復できる選択肢もあります。歯をなるべく残したい方は、ぜひ一度ご相談ください。
| 主訴 | 左上前歯が痛い |
|---|---|
| 治療期間 | 2ヶ月 |
| 治療費 | ¥264,000(税込) |
| 治療内容 | 左上前歯が割れているため抜歯となりました。このケースは、接着性ブリッジといい通常のブリッジに比べて削る量が片方のみでほんのわずかのみです。 |
| 治療のリスク | 通常のブリッジと比べると、取れるリスクがあります。 |
症例4
治療前
治療後
治療の経緯
患者様は「銀歯を白くしたい」というご希望で来院されました。診査の結果、該当部位には銀歯が装着されており、審美性に課題がある状態でした。そこで、まず既存の銀歯を除去し、歯質への負担を抑えながら接着力を重視したセラミック修復による治療を行いました。見た目の自然さだけでなく、適合性や再発リスクにも配慮した治療計画としています。
同じ症状で悩んでいる方への
メッセージ
銀歯の見た目が気になる方は少なくありません。現在では、自然な白さを再現できるセラミック治療により、見た目の改善だけでなく、虫歯の再発リスクを抑えることも可能です。審美性と機能性の両立を大切にした治療をご提案しておりますので、お悩みの方はぜひ一度ご相談ください。
| 主訴 | 何度も治療をしたくない |
|---|---|
| 治療期間 | 2回 |
| 治療費 | ¥66,000(税込) |
| 治療内容 | 見た目がいいセラミック素材の詰め物で修復しました。 |
| 治療のリスク | 強い力がかかると割れる可能性があります。 |
症例5
治療前
治療後
治療の経緯
患者様は「銀歯を白くしたい」というご希望で来院されました。診査の結果、該当部位には銀歯が装着されており、見た目に違和感がある状態でした。そこで、既存の銀歯を除去し、歯質への負担を抑えながら接着性を重視したセラミック修復による治療を行いました。審美性の改善だけでなく、適合性にも配慮した治療計画としています。
同じ症状で悩んでいる方への
メッセージ
銀歯の見た目が気になる方は多くいらっしゃいます。セラミック治療は自然な白さを再現できるだけでなく、虫歯の再発リスクの軽減にもつながります。見た目だけでなく、長く健康な状態を維持するためにも再発防止を意識した治療が大切ですので、お悩みの方はぜひ一度ご相談ください。
| 主訴 | 銀歯を白くしたい |
|---|---|
| 治療期間 | 2回 |
| 治療費 | ¥66,000(税込) |
| 治療内容 | 見た目がいいセラミック素材の詰め物で修復しました。 |
| 治療のリスク | 強い力がかかると割れる可能性があります。 |
症例6
治療前
治療後
治療の経緯
患者様は「白くしたいが、セラミックで割れるのが怖い」とのご不安を抱えて来院されました。診査の結果、該当部位には銀歯が装着されており、審美性の問題に加えて虫歯も認められる状態でした。まず既存の銀歯と虫歯を除去し、歯質への負担を抑えながら、強度と接着性に配慮したセラミック修復による治療を行いました。見た目の美しさだけでなく、長期的な安定性も重視した治療計画としています。
同じ症状で悩んでいる方への
メッセージ
セラミック治療に対して「割れやすいのでは」と不安に感じる方もいらっしゃいますが、適切な素材選びや治療設計により、強度と審美性を両立することが可能です。見た目の改善だけでなく、再発防止や耐久性も考慮した治療が大切ですので、お悩みの方はぜひ一度ご相談ください。
| 主訴 | 銀歯を白くして、割れないようにしたい |
|---|---|
| 治療期間 | 2回 |
| 治療費 | ¥71,500(税込) |
| 治療内容 | 強度の高いセラミック素材の詰め物で修復しました。 |
| 治療のリスク | e-maxInより色をあわせるのが難しい可能性があります。 |
症例7
治療前
治療後
治療の経緯
既存の詰め物を除去したうえで、歯にかかる負担や長期的な安定性を考慮し、強度を重視した単色のフルジルコニアクラウンによる修復を行いました。見た目だけでなく、噛む力に対する耐久性や再発リスクの低減も踏まえ、適切な材料と治療方法を選択しています。
患者様や同じ症状で悩んでいる方への
メッセージ
被せ物の治療では、見た目の白さだけでなく、割れにくさや長期的な安定性も非常に重要です。材料の選択によって将来的なトラブルの起こりやすさも変わるため、単に審美性だけで判断せず、機能性や耐久性を含めた総合的な治療計画が大切です。気になる症状がある場合は、早めのご相談をおすすめします。
| 主訴 | 歯が欠けた |
|---|---|
| 治療期間 | 2〜3回 |
| 治療費 | ¥77,000(税込) |
| 治療内容 | 不適合な詰め物を除去し、単色ジルコニアクラウン(フルジルコニア)を装着しました。 |
| 治療のリスク | 単色なため、周りの歯と色をあわせるのが難しい可能性があります。 |
症例8
治療前
治療後
治療の経緯
既存の銀歯を除去したうえで、見た目の改善と強度の両立を目的に、単色のフルジルコニアクラウンによる修復を行いました。二次的な虫歯のリスクや将来的な耐久性も考慮し、再発防止を重視した治療計画としています。
同じ症状で悩んでいる方への
メッセージ
白い被せ物は見た目だけでなく、割れにくさや虫歯の再発防止といった機能面も重要です。材料ごとに特性が異なるため、長期的な安定性を考えた治療選択をすることが大切です。気になる方は早めにご相談ください。
| 主訴 | 割れなくて、白い被せ物を入れたい |
|---|---|
| 治療期間 | 2〜3回 |
| 治療費 | ¥77,000(税込) |
| 治療内容 | 不適合な詰め物を除去し、単色ジルコニアクラウン(フルジルコニア)を装着しました。 |
| 治療のリスク | 単色なため、周りの歯と色をあわせるのが難しい可能性があります。 |
症例9
治療前
治療後
治療の経緯
できるだけ歯を削らずに治療を行う方針のもと、既存の修復物や感染リスクの有無を慎重に診査しました。歯質を最大限に残せることを確認したうえで、必要最小限の処置にとどめ、歯の保存性を重視した治療計画を立案しています。
同じ症状で悩んでいる方への
メッセージ
根管治療が必要な場合でも、必ずしも大きく削ってすべてを被せ物にするとは限りません。歯の状態によっては、削る量を抑えながら機能と見た目を両立できるケースもあります。大切なのは「今の歯をどこまで残せるか」を正確に見極めることです。気になる症状がある方は早めにご相談ください。
| 主訴 | 歯をなるべく削りたくない |
|---|---|
| 治療期間 | 2〜3回 |
| 治療費 | ¥110,000(税込) |
| 治療内容 | 歯をなるべく削らずに、セラミックオーバーレイで歯を修復しました。 |
| 治療のリスク | 噛み合わせにより、割れる可能性があります。 |
症例10
治療前
治療後
治療の経緯
できるだけ削らずに、歯がない部分を綺麗にしたいというご希望でご来院されました。歯を失った部分と変色した歯の両方について、できる限り負担の少ない方法での改善をご希望されていました。
同じ症状で悩んでいる方への
メッセージ
歯を失った場合でも、接着性ブリッジのようにできるだけ削らずに補う方法があります。また、歯の変色に対してもウォーキングブリーチなど歯を削らずに改善できる選択肢があります。状態によって適した方法は異なりますので、まずは一度ご相談ください。
| 主訴 | 歯を失った |
|---|---|
| 治療期間 | 2〜3回 |
| 治療費 | ¥264,000(税込) |
| 治療内容 | 左上2番の前歯が折れてしまい抜歯となり歯を削らない接着性ブリッジを処置しました。また、左上1番の前歯のウォーキングブリーチも処置しました。 |
| 治療のリスク | 外れる可能性があります。 |
症例11
治療前
治療後
治療の経緯
前歯の色が気になること、また歯をできる限り削りたくないというご希望でご来院されました。
同じ症状で悩んでいる方への
メッセージ
すぐに削って被せるのではなく、歯を守りながら美しく整える方法もあります。歯の状態によっては、最小限の処置で審美性を改善できるケースもありますので、まずはご相談ください。
| 主訴 | 前歯の色が気になる |
|---|---|
| 治療期間 | 1回 |
| 治療費 | ¥22,000(税込) |
| 治療内容 | ダイレクトボンディングにより最小限の切削で審美的改善しました。 |
| 治療のリスク | 経年劣化で変色する可能性があります。 |
ホワイトニングの症例
症例1
治療前
治療後
治療の経緯
患者様は「神経のない歯だけ黒く見える」とのお悩みで来院されました。診査の結果、神経を失った歯に内部変色が確認されました。そこで、歯を削って被せ物をするのではなく、歯の内部から漂白を行う内部漂白(ウォーキングブリーチ)を実施しました。
同じ症状で悩んでいる方への
メッセージ
神経のない歯の変色でも、被せ物をせず改善できる可能性があります。状態によっては内部からの漂白で自然な色調に近づけることができますので、歯の色が気になる方はぜひ一度ご相談ください。
| 主訴 | 左上前歯が黒いのが気になる |
|---|---|
| 治療期間 | 4週間 |
| 治療費 | ¥22,000 |
| 治療内容 | 歯の裏側の詰め物を取り除き、ホワイトニング剤(漂白剤)を入れ、白くなったら再度詰め物をします。 薬の交換は、2週間に1度で1〜2回行います。 |
| 治療のリスク | 治療中に歯の内圧が高まり痛みがでる場合があります。 |
症例2
治療前
治療後
治療の経緯
患者様は「神経のない歯にウォーキングブリーチをしたい」とのご希望で来院されました。診査の結果、神経を失った歯に内部変色が認められました。そこで、歯を削って被せ物をするのではなく、歯の内部から漂白を行うウォーキングブリーチを実施しました。
同じ症状で悩んでいる方への
メッセージ
神経のない歯の変色でも、被せ物をせず改善できる可能性があります。歯の内部から漂白することで、自然な色調へ近づけることが可能です。歯の色でお悩みの方は、ぜひ一度ご相談ください。
| 主訴 | 前歯の黒いのが気になる |
|---|---|
| 治療期間 | 4週間 |
| 治療費 | ¥22,000 |
| 治療内容 | 歯の裏側の詰め物を取り除き、ホワイトニング剤(漂白剤)を入れ、白くなったら再度詰め物をします。 薬の交換は、2週間に1度で1〜2回行います。 |
| 治療のリスク | 治療中に歯の内圧が高まり痛みがでる場合があります。 |
症例3
治療前
治療後
治療の経緯
患者様は「神経のない歯をホワイトニングしたい」とのご希望で来院されました。診査の結果、神経を失った歯の内部変色と詰め物の変色が確認されました。そこで、歯を削って被せ物にするのではなく、歯の内部から漂白を行うウォーキングブリーチ(内部漂白)による治療を行いました。
同じ症状で悩んでいる方への
メッセージ
神経のない歯の変色でも、被せ物をせずに改善できる可能性があります。状態によっては内部からの漂白で自然な色調に近づけることができますので、歯の色でお悩みの方は一度ご相談ください。
| 主訴 | 前歯の黒いのが気になる |
|---|---|
| 治療期間 | 4週間 |
| 治療費 | ¥22,000 |
| 治療内容 | 歯の裏側の詰め物を取り除き、ホワイトニング剤(漂白剤)を入れ、白くなったら再度詰め物をします。 薬の交換は、2週間に1度で1〜2回行います。 |
| 治療のリスク | 治療中に歯の内圧が高まり痛みがでる場合があります。 |
入れ歯の症例
症例1
治療前
治療後
治療の経緯
患者様は「入れ歯が目立つのが嫌」とのお悩みで来院されました。診査の結果、部分的に歯を失っている状態でした。見た目へのご不安を考慮し、金属のバネが目立ちにくく審美性と装着感に配慮したノンクラスプデンチャーをご提案し、治療を行いました。
同じ症状で悩んでいる方への
メッセージ
入れ歯は「目立つ」というイメージをお持ちの方も多いですが、見た目に配慮した自然な義歯もあります。見た目や装着感でお悩みの方は、お気軽にご相談ください。自然に笑える入れ歯をご提案いたします。
| 主訴 | 見た目の良い入れ歯をいれたい |
|---|---|
| 治療期間 | 2週間 |
| 治療費 | ¥110,000 |
| 治療内容 | ノンクラスプデンチャーという、金属を使用しない入れ 歯を作製しました。見た目も綺麗で違和感の少ない入れ歯になります。 |
| 治療のリスク | 壊れた時の修理が大変になります。 |
症例2
治療前
治療後
治療の経緯
患者様は「食事がしやすい入れ歯を作りたい」とのご希望で来院されました。初診時には上顎総義歯を使用されており、より安定性と機能性を高めたいというご要望がありました。噛みやすさや食事のしやすさを重視し、日常生活での快適性を優先した入れ歯設計を行い、機能性の高い義歯を製作しました。
同じ症状で悩んでいる方への
メッセージ
入れ歯は「合わない・噛みにくい」というイメージを持たれることもありますが、設計や調整によって、しっかり噛めて食事がしやすいものを作ることが可能です。壊れにくさや安定性にも配慮した製作ができますので、現在の入れ歯に不満がある方も一度ご相談ください。
| 主訴 | 入れ歯が食事すると外れる |
|---|---|
| 治療期間 | 2週間 |
| 治療費 | ¥385,000 |
| 治療内容 | 食事の楽しさや、快適さ 違和感の少ない金属床の入れ歯を作製しました 。 |
| 治療のリスク | 調整が必要なこともあります。 |
歯牙移植の症例
症例1
治療前
治療後
治療の経緯
患者様は「抜歯しかないと言われた」とのお悩みで来院されました。診査の結果、保存が難しい歯が確認されましたが、親知らずの状態が良好で移植の条件を満たしていました。そこで、自身の歯を活用する治療として自家歯牙移植を行いました。
同じ症状で悩んでいる方への
メッセージ
歯を失った場合の治療は、インプラント・義歯・ブリッジだけではありません。状態によっては、自分の歯を利用する自家歯牙移植という選択肢が可能な場合もあります。「抜歯しかない」と言われた場合でも、まずは一度ご相談ください。適切な診断のもと、歯を活かす治療の可能性を検討いたします。
| 主訴 | 歯が痛く、腫れている |
|---|---|
| 治療期間 | 3〜4ヶ月 |
| 治療費 | ¥110,000(税込) |
| 治療内容 | 右下奥歯が割れているため抜歯となりました。親知らずが残っていたため、抜歯後に親知らずを抜いた場所へ移植しました。 |
| 治療のリスク | 上手く生着しない(くっ付かない)ことがあります。 |
症例2
治療前
治療後
治療の経緯
患者様は「歯牙移植をしたい」とのご希望で来院されました。初診時の診査にて保存が難しい歯が認められましたが、親知らずは良好な状態であり、移植に適した条件を満たしていました。歯牙のレプリカを用いて事前シミュレーションを行い、適応が確認できたため、自家歯牙移植を実施しました。
同じ症状で悩んでいる方への
メッセージ
歯を失った場合の治療方法は、インプラント・義歯・ブリッジだけではありません。条件が整えば、ご自身の歯を活用する「自家歯牙移植」によって機能回復が可能な場合もあります。抜歯後の治療方法に不安がある方も、まずは一度ご相談ください。お口の状態に合わせて、最適な選択肢をご提案いたします。
| 主訴 | 歯を失った部位に移植したい |
|---|---|
| 治療期間 | 2〜6ヶ月 |
| 治療費 | ¥110,000(税込) |
| 治療内容 | 親知らずの移植をより成功率を高めるために3Dプリンターを使用し、移植歯のレプリカを用意し移植床の形成も少なくしました。 |
| 治療のリスク | 生着しないことがあります。 |
PMTCの症例
治療前
治療後
治療の経緯
患者様は「着色が気になる」「クリーニングで白くしたい」とのご希望で来院されました。診査の結果、矯正器具の影響で清掃が難しく、歯の表面にバイオフィルムや着色が付着している状態でした。そこで、歯を削らずに汚れや着色を除去できるパウダークリーニングを行い、歯の表面を清潔な状態に整えました。
同じ症状で悩んでいる方への
メッセージ
歯の着色やバイオフィルムは、専用のクリーニングによって歯を傷つけずに除去することが可能です。歯を削らずに清潔で自然な白さを保つことができますので、着色や汚れが気になる方はお気軽にご相談ください。
| 主訴 | 歯の色が気になる |
|---|---|
| 治療期間 | 1回 |
| 治療費 | ¥3,850(税込) |
| 治療内容 | パウダーメンテナンス(エアフロー)にて、歯の着色やバイオフィルムを除去しました。 |
| 治療のリスク | 妊娠中の方は受けれないこともあります。 |